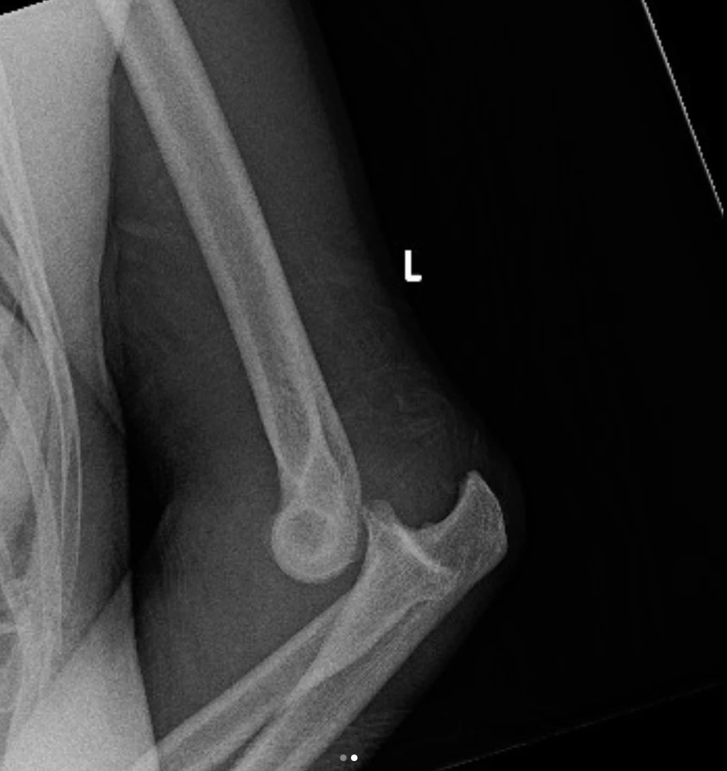
«Жесть». Дана Уайт опубликовал рентген руки Истелы Нунес
Дана Уайт выложил в соцсетях рентгеновский снимок руки Истелы Нунес – перелом.
«Жесть», – отреагировал на травму бойца президент промоушена.

Бразильянка получила перелом руки в поединке с россиянкой Викторией Дудаковой.
Дудаковой присудили победу техническим нокаутом в первом раунде.
Опубликовал: Артем Чугунов
Источник: инстаграм Даны Уайта
Комментарии
Материалы по теме
Главные новости
Последние новости


