Маслов уже почти год не играет из-за тендинопатии. Что это такое, как тут помогает операция и почему так долго?
Последнюю неделю стали появляться противоречивые сообщения о состоянии Маслова и успешности его операции на сухожилии четырехглавой мышцы бедра. Давайте разберемся, почему восстановление длится так долго, и почему тендинопатия — это не воспаление сухожилия.
Тендинопатия — это структурные изменения в сухожилии, но воспаления там нет
Что вообще такое тендинопатия? Так называют патологию сухожилия, когда в ответ на нагрузку, например, резкое изменение интенсивности тренировочного процесса, у игрока возникает боль в области сухожилия. Для футбола наиболее характерны боль в области Ахилла или сухожилия надколенника, оно же сухожилие четырехглавой мышцы бедра. Как правило, боль имеет ряд характерных симптомов:
Появляется на разминке и уменьшается к середине тренировки
Имеет четкую локализацию, пациент чаще всего показывает на среднюю порцию сухожилия
Боль снова возвращается после завершения тренировки или при полном покое
С прогрессированием заболевания боль часто появляется утром, в первые часы после сна и перестает проходить после разминки во время тренировок.
Главная сложность этого заболевания в том, что полный покой также провоцирует боль, и остановить прогрессирование заболевания можно лишь дозированием нагрузки, иначе боль никуда не уйдет и вернется на первой же тренировке после паузы. Раньше считалось, что боль в области сухожилия, это его воспаление в ответ на перегрузку, травмы или какие-то другие факторы. Но все оказалось куда сложнее.

Тендинопатия — это структурные изменения в сухожилии, причем воспалительного компонента там нет, почему это так важно объясню чуть позже. Эта патология формируется постепенно, в ответ на избыточную нагрузку — любая нагрузка приводит к микротравматизации сухожилия, особенно, уровня профессиональных футболистов. Если мышца и сухожилие к такой нагрузке не готовы или получили недостаточно времени на отдых, то сухожилие не успевает восстановиться, вместо упорядоченного коллагена 1 типа появляется хаотично расположенный, гораздо менее прочный коллаген второго и третьего типа. Можно сказать, микроскопические рубцы. Прорастают новые сосуды, чтобы как-то компенсировать скорость восстановления, но вместо этого они лишь еще больше нарушают нормальную структуру сухожилия и повышают его болевую чувствительность. Так появляется характерная боль в сухожилии.
Да, объяснение достаточно сложное, но это одна из самых малоизученных и сложных в лечении травм. На тендинопатии приходится всего 2,5% от общего числа всех повреждений, но при этом вероятность ее рецидива более 27%.
Почему тендинопатию вылечить так трудно?
Вышеописанные изменения происходят не моментально, а развиваются поэтапно. На самом деле, это все части одного процесса, но для удобства подбора тактики лечения и разделения пациентов на группы, чтобы, скажем, отличить пятидесятилетнего спортсмена-любителя от игрока основного состава «Спартака» разработана модель «континуума». Это разделение тендинопатии на 3 ее подвида.
Реактивная тендинопатия. Это самые минимальные, начальные изменения, когда в сухожилии лишь повышается число клеток, производящих коллаген, а процесс неоваскуляризации (прорастания новых сосудов) еще не начался. Это единственный обратимый этап, как правило, такое появляется после тяжелого матча, первых тренировок игрока, перешедшего из юношеской команды во взрослую или на предсезонной подготовке. Лечение заключается в кратковременном отдыхе и паре дней у физиотерапевта. Но на этом этапе спортсмены редко обращаются к докторам, да и вообще обращают внимание на боль, ведь она проходит по ходу тренировки.
Нарушение структуры сухожилия. В английском этот этап называется tendon disrepair, то есть дословно — нарушение процесса восстановления сухожилия. На этом этапе как раз начинается процесс замещения одного типа коллагена на другой, процесс неоваскуляризации и в целом нарушения нормальной структуры сухожилия.
Дегенеративная тендинопатия. Тут уже выраженные изменения в структуре сухожилия, более характерные для многолетнего течения заболевания и требуют более длительного и агрессивного лечения.
Даже МРТ не всегда дает полную картину
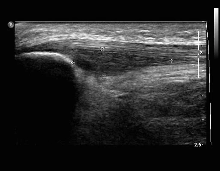
Вы, наверное удивитесь, но МРТ, в отличие от большинства других мышечно-сухожильных не всегда является лучшим методом диагностики. В случае тендинопатии Ахилла или четырехглавой мышцы УЗИ позволяет не только поставить диагноз, но и подробнее оценить степень изменений. Но это требует определенных навыков от спортивного врача.
Вот, как это примерно выглядело в случае Маслова.




Как мы видим, УЗИ позволяет точнее оценить степень изменений в сухожилии, особенно это касается неоваскуляризации. Плюс, это динамический метод, то есть мы можем попросить пациента двигать ногой, сокращать мышцы бедра и оценить, как на это реагирует сухожилие. В случае МРТ мы можем оценить лишь статичную картинку. Но и у МРТ есть свои плюсы — больший объем оцениваемых тканей; позволяет оценить еще и состояние сустава, куда ультразвуковой сигнал уже не добирается. Плюс, УЗИ хороший метод только при оценке поверхностно лежащих тканей. В случае тендинопатии в других областях МРТ может оказаться точнее и более предпочтительным методом.
Лечение сложное, практически непрерывное и без точных сроков возвращения
До этого момента дошли самые сильные, и теперь мы поговорим о лечении и почему же так часто спортсмены сталкиваются с рецидивами.
Продолжим разбирать на примере Маслова. Эту патологию еще называют коленом прыгуна. Парадокс ситуации в том, что у людей, кто способен прыгать выше, бежать быстрее и в целом имеет хорошие природные данные риск возникновения тендинопатии выше. Поэтому им требуется особое внимание при профилактике и лечении.
Как мы разобрали выше, в случае реактивной тендинопатии, какое-то специфическое лечение не требуется. Это лишь модификация нагрузки и пара дней отдыха.
На последующих этапах хорошо себя зарекомендовали изометрические и эксцентрические упражнения. Они укрепляют мышцы, чье сухожилие подвержено этой патологии, а также их синергистов, то есть мышцы, выполняющее одно или похожее движение, при этом не перегружая сухожилие. Таким образом, мышца способна переносить большую нагрузку без возникновения симптомов тендинопатии и процесс останавливается, а боль уходит. Это основной метод лечения тендинопатии.
Существует также множество вспомогательных методов, остановимся на наиболее популярных или наиболее эффективных.
НПВП (нестероидные противовоспалительные препараты). По-русски — обычное обезболивающее. Один из самых популярных методов борьбы с болью, на удивление не рекомендуется использовать при тендинопатии. Объяснение довольно простое — заглушение боли на ранних этапах не позволит поставить диагноз на обратимой стадии заболевания. А при его прогрессировании, как я написал в самом начале, воспалительный компонент уже отсутствует и НПВП оказываются просто неэффективны
Кортикостероиды. Мощные противовоспалительные препараты, используются в качестве местных инъекций. Несмотря на очень хорошие показатели в снижении боли, их побочные эффекты часто перекрывают пользу. В частности, повышают риск разрыва сухожилия. Этот метод используется, но в редких случаях и строго по индивидуальным показаниям и он точно не должен предлагаться врачом одним из первых.
PRP терапия. Хорошо зарекомендовавший себя метод лечения острых травм суставов и мышц, максимально безопасен для пациента и широко используется многими врачами РПЛ. К сожалению, его эффективность при тендинопатии пока не доказана. Из положительных моментов — негативных последствий применения PRP в такой ситуации тоже не описано
Криотерапия. Универсальный метод лечения большинства травм опорно-двигательного аппарата, уменьшает болевую проводимость за счет чего облегчает симптоматику
Тепло. Как и криотерапия, это еще одно широко используемый метод при патологиях сухожилий. Традиционно делится на две категории: поверхностное и глубокое воздействие. Поверхностное включает в себя горячие компрессы, инфракрасные лампы, гидромассажные ванны, парафиновые ванны и флюидотерапию. Глубокое тепло включает ультразвук и диатермию. Хотя как ультразвук, так и диатермия широко используются, существует мало научных доказательств, оправдывающих их применение в качестве основного метода.
Мануальная терапия и массаж. Мобилизация мягких тканей состоит из мобилизации путем массажа области вокруг сухожилия, чтобы стимулировать приток крови к области вокруг травмы, тем самым помогая заживлению сухожилия. Исключительно вспомогательный метод.
Ударно-волновая терапия. Использование экстракорпоральных ударных волн стало более распространенным в последние годы, особенно при кальцифицирующих тендинопатиях (когда в структуре сухожилия появляются еще и твердые включения из кальция). Недавно было продемонстрировано, что при лечении ахилловой тендинопатии комбинация эксцентрических упражнений и повторной низкоэнергетической ударной волны более эффективна, чем изолированные эксцентрические упражнения.
Гидрокинезитерапия рекомендуется для тренировок без нагрузки. В настоящее время использование плавательных бассейнов для таких упражнений вытесняется антигравитационными беговыми дорожками, поскольку они дешевле, гигиеничнее и проще в обслуживании. Это беговые дорожки, которые могут снизить массу тела до 80% за счет создания герметичного отсека. Это позволяет выполнять упражнения без нагрузки с самых ранних этапов реабилитации до высокоинтенсивных тренировок, тем самым сводя к минимуму нагрузку на суставы.
И тут самое главное. Строгих сроков возвращения нет. Критерием является протокол VISA-P это опросник, где спортсмен оценивает наличие или интенсивность боли при тех или иных действиях. Решение о возвращении в общую группу принимается следующим образом:
Спортсмен, набравший менее 60 баллов не может быть допущен к занятиям в общей группе
Если пациент набрал более 70 баллов или если его прогресс составил более 30 баллов с момента первого опроса, то врач может начинать процесс подготовки спортсмена к тренировкам без ограничений
При достижении 80 и более баллов спортсмен считается готовым к возвращению на поле
Если описанные выше цели не достигаются за 6 месяцев или симптомы быстро нарастают, то принимают решение об оперативном лечении, так как чем больший процент сухожилия изменен, тем выше риск его разрыва. Выполняется пластика пострадавшего сухожилия и далее спортсмена ведут, как после операции по поводу разрыва этого сухожилия, то есть занимаются восстановлением объема движений, мышечной силы и набором игровой формы. Что может занимать не менее полугода.
В случае Маслова одно колено было соперировано и Павел восстанавливался после операции, но помимо этого, с другим имеется аналогичная проблема, которую ведут по описанному выше сценарию. Форсирование возвращения в общую группу может привести к тому, что операция может понадобиться и на второй ноге, что растянет реабилитацию на еще один сезон. Сейчас его постепенно подводят к общей группе и он, по словам медицинского штаба, находится на финальных этапах. Скорее всего, полностью без ограничений Маслов будет тренироваться уже этим летом, на предсезонной подготовке.













Просто на днях самодиагностировал себе "локоть гольфиста", поэтому было интересно почитать про близкую тему.