Ловрен сказал, что у него две кости в ноге. Что это значит?
Спортивный врач объясняет.

В начале февраля Деян Ловрен получил травму стопы.
Казалось, что хорват выбыл ненадолго, но он до сих пор ни разу не выходил на поле. От клуба о состоянии Ловрена поступало минимум информации. И вот, наконец, сам Деян поделился небольшими подробностями о восстановлении.
Фрагмент из интервью «Матч ТВ»: «У меня была довольно сложная травма. Такая же, как десять лет назад во Франции, когда я выступал за «Лион». Тогда восстановление тоже получилось долгим и заняло четыре месяца. Дело в том, что у меня необычная нога — такая бывает одна на миллион. У меня две кости в ноге».
Ловрен имел в виду две кости вместо одной. Такое бывает
Разумеется, в одной только стопе насчитывается 26 костей. Деян подразумевал две кости вместо одной (а не буквально две кости во всей ноге) – и это сильно сужает диагностический поиск. Речь о добавочных костях стопы – вариант развития костей стопы, когда из-за различных причин, как правило генетических, формируются дополнительные кости или точки окостенения.
Обычно такие кости плотно скреплены с «основной» костью синхондрозом — мощным соединением при помощи хрящевой ткани, как правило, неподвижным. Из-за чего добавочные кости стопы в большинстве случаев никак не влияют на повседневную жизнь и, если не вызывают дискомфорта, то патологией не считаются. Но в случае травмы это может быть очень интересной задачей на внимательность для врачей.
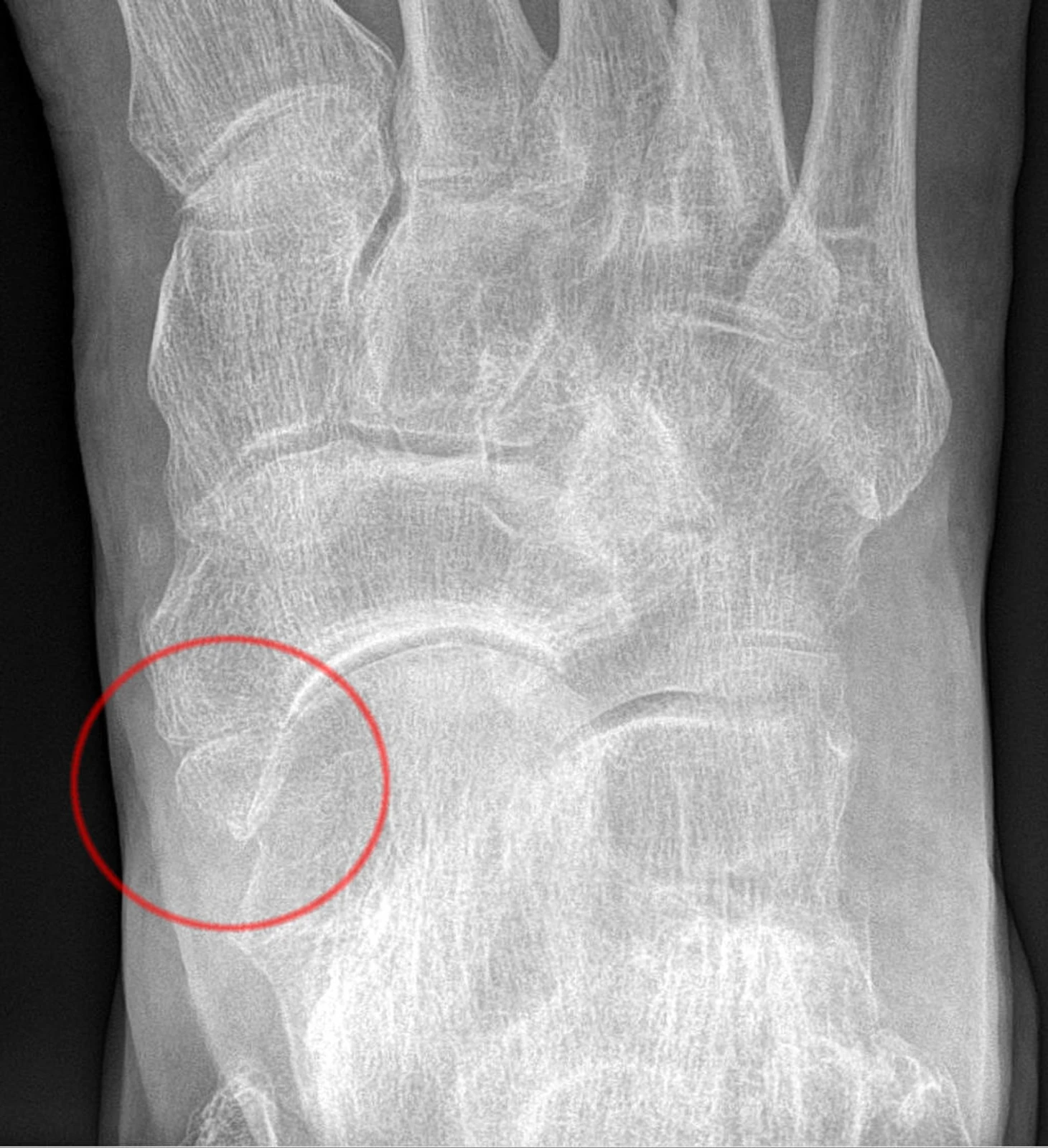
Буквально один снимок покажет особенность.

На снимке правая стопа, вид сверху. Красным кружком выделен фрагмент ладьевидной кости, как это может показаться на первый взгляд. Перелом! Но почему-то симптоматика не такая яркая, как при переломе, плюс, он почему-то не срастается. Что же не так? Это как раз добавочная ладьевидная кость (II типа), а линия между основной и добавочной костью – это не линия перелома, а синхондроз. И в «Лионе» поначалу попались в эту ловушку: Деян говорил о травме десятилетней давности, а в новостях о ней как раз двоякие формулировки — клуб вроде бы говорит, что перелом исключили, но в то же время все равно отправляет Ловрена на КТ (а не МРТ), которая наиболее чувствительна именно к повреждениям костной ткани и при помощи которой в том числе можно отличить синхондроз и добавочную кость от перелома.
Как лечат такие травмы?
Сами по себе дополнительные кости стопы редко беспокоят пациентов. Причиной возникновения боли обычно являются травмы этой области, например, повреждение синхондроза в результате прямого удара. И тут уже пациент сталкивается с длительной болью, которая может тянуться месяцами. Но лечить ее лучше консервативно. Все дело в двух анатомических проблемах.

Первая — кость может быть слишком маленькой и при попытке ее зафиксировать винтом велика вероятность ее просто сломать.
Вторая — именно в этом месте крепится сухожилие задней большеберцовой мышцы, одного из сгибателей и стабилизаторов стопы. Его смещение и прикрепление в другой точке связано с риском нестабильности голеностопного сустава и новыми травмами стопы.
Поэтому врачи стараются до последнего вести пациентов с такими травмами консервативно:
• Первая задача – снять воспаление и все его признаки (боль, отек и т.д) при помощи холода, противовоспалительных препаратов и физиотерапевтического лечения в зависимости от его доступности.
• Затем начинается укрепление мышц, стабилизирующих стопу, работа над объемом движений, координацией и проприоцепцией (чувство, позволяющее нам понимать положение конечностей не глядя на них). Все это нужно для разгрузки пострадавшего отдела стопы, уменьшения потенциальной нестабильности сустава и профилактики новых травм.
• Эти этапы идут параллельно, так как критерием возвращения в спорт будет отсутствие боли при своей стандартной тренировочной нагрузке.

Четких сроков длительности консервативного лечения травм добавочных костей стопы нет из-за большого разнообразия форм и местоположения таких костей, но если продолжать рассматривать наиболее распространенный вариант с ладьевидной, то к операции прибегают, если консервативное лечение оказалось неудачным спустя более чем 6-8 месяцев. В «Лионе» Деян лечился 4 месяца, в «Зените» столько же – и уже обещает вернуться к Суперкубку России.
Почему Ловрен лечился в Хорватии? Скорее всего, он уже работал над этой травмой с врачами национальной команды в первый раз – вполне успешно, раз второй случай возник аж через 10 лет. Травма крайне редкая, требующая длительной и непрерывной работы. Мой телеграм канал о спортивной медицине
Фото: РИА Новости/Алексей Филиппов


















