Почему у вратарей кривые пальцы? Травма Одоевского, пальцы Кафанова, Селихова и Роберта Грина
Думаю, вы замечали в интервью с многими вратарями, что их пальцы выглядят просто пугающе, особенно это касается мизинцев. Постоянные переломы и вывихи пальцев — это практически норма для киперов всех возрастов. Но почему? Давайте разбираться.
Существует 4 основных механизма травм кисти в футболе

Рывок при фиксированной руке. Как правило, это попытка зацепить соперника за футболку или неудачное единоборство. Чаще всего приводит к травмам сухожилий сгибателей пальцев. Кстати, это одна из причин, по которым форму делают из более легких и эластичных материалов.
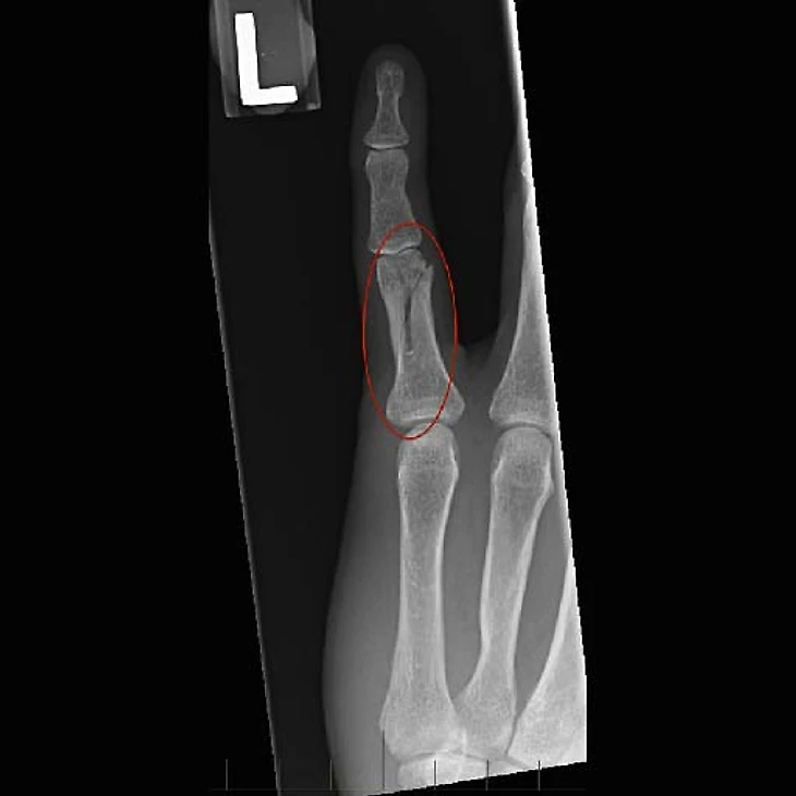
Удар по кончику пальца. Такой механизм характерен для спиральных и вколоченных переломов, например таких.

Возникают они при прямом попадании мяча в кончик пальца, неудачном приземлении или контакте с соперником. Особенность этого вида переломов в том, что сила направлена внутрь кисти и может также придавать вращение пальцу, из-за чего линия перелома проходит косо вдоль пальца, и такой перелом можно вылечить лишь при помощи хирургической фиксации.
Еще один механизм — прямой удар по кисти. Это может быть мяч или соперник. Это также может привести к перелому или вывиху.
И последний: FOOSH (англ. fall onto an out-stretched hand) — падение на выпрямленную руку. В такой ситуации чаще всего страдает запястье.
Но почему вратари так часто сталкиваются с травмами пальцев? Разве их не учат, как этого избежать?
Да, но футбол — это контактный вид спорта. Ошибку соперника или даже своего игрока предугадать практически невозможно. Но есть факторы, которые возможно контролировать. Таким мнением со мной поделился тренер вратарей Академии «Олимп-Долгопрудный» и «Амкала» Денис Куфин.
— На детском уровне это чаще всего недостаточный уровень техники, все-таки дети еще учатся правильно играть, либо потеря концентрации внимания. У взрослых огромный объем ударной нагрузки, особенно на высоком уровне, может теряться концентрация. Да и чисто статистически, чем больше ударов, тем больше вероятность травмы. Кроме того вратарь — слишком важный игрок для команды, поэтому его возвращают в основу как можно раньше, из-за чего сложно говорить о полном выздоровлении. Вот, например, видео, где Бен Фостер (вратарь «Уотфорта», более 1 млн. подписчиков на YouTube) рассказал, как сломал палец на разминке, но все равно сыграл.
— Также есть гипотеза, почему такие травмы часто возникают именно на разминке: это монотонная, стереотипная работа, к которой ты уже привык, а все мысли о предстоящей игре. В результате — отвлекся, задумался, не так принял, подал и вот уже получил травму. (Как, скорее всего, и произошло у Одоевского — прим. Sports.ru).
Как лечат такие травмы?
В большинстве случаев, если не требуется хирургическое лечение (фиксация или репозиция обломков кости) достаточно обычной шины. Но есть варианты и поинтереснее привычного нам гипса, а главное — при такой фиксации рука остается активной. Это полимерный гипс или скотчкаст.
В отличие от обычного гипса, полимер лучше повторяет контуры сустава, намного легче, а главное — съемный.

В случае, когда наша задача зафиксировать лишь один палец, то гипс на всю руку будет не только неудобным, но и даже вредным. Из-за того, что он сковывает движение в лучезапястном суставе и частично ограничивает движение фаланг пальцев быстро наступает мышечная атрофия, то есть уменьшение силы мышц предплечья, отвечающих за работу кисти. Также это может привести к появлению контрактур — ограничению подвижности в суставов, которые вообще-то были здоровы до такого лечения. Из-за чего даже такая мелкая травма становится причиной достаточно длительной реабилитации. Какая же есть альтернатива, если мы хотим вести такого пациента консервативно?

Это полимерный гипс. Он делается из термопластика, и его легко подогнать индивидуально, причем прочность и надежность фиксации вполне достаточны для успешного восстановления.
Также нужно понимать, что даже без перелома, при обычном вывихе нужна фиксация при помощи аналогичных шин. Например, при вывихе, возникшем из-за переразгибания пальца (столкновение с соперником, сильный удар). После его вправления требуется несколько недель на восстановление связочного аппарата, чтобы предотвратить рецидив.

Такая шина предотвращает переразгибание пальца, но не ограничивает сгибание. Из-за чего рука полностью функциональна. На этом этапе спустя неделю уже можно возвращаться к тренировкам, но лучше все же оставлять такие шины на некоторое время (тут как раз пригодится их компактность), чтобы избежать рецидива.
Но вратари часто спешат вернуться в общую группу. К чему это приводит?
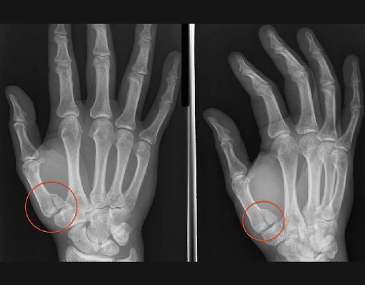
Описанные выше действия — это идеальный сценарий, на практике же вратарь и тренер спешат как можно скорее вернуться в общую группу без каких-либо ограничений. И вообще доктор своими гипсами тут только мешает (с). В результате этого вратари часто сталкиваются с рецидивами травм или хронизацией — деформацией пальцев по типу бутоньерки или гусиной шеи.

Из-за переломов или травм центральных тяжей сухожилия его боковые порции соскальзывают вниз, относительно нормального хода, образуя петлю, похожую на пуговичную (Boutonniere фр. пуговичная петля), а тяга сухожилия постепенно выгибает палец. Если долгое время это игнорировать, то затем уже будет сложно восстановить нормальное функционирование кисти. И это частое явление у вратарей. Например об этом рассказывал Селихов в «футбольном Хейте» (по ссылке таймкод момента его деформированными пальцами) или Виталий Витальевич Кафанов в интервью Матч ТВ:
— Сильно осложняют жизнь вратарские пальцы?
— Привык. У Маслаченко такие же были, у Лемешко. Когда здоровались, у них рука в руку не входила, торчащие пальцы мешали. Перчаток современных не было, ломались запросто. На гитаре не могу играть, зажимаю аккорд, а мизинец уходит на два лада в сторону.
— А так бы играли?
— Умел и любил, пока пальцы не сломал. В английском посольстве тоже проблема. Там к сканеру надо четыре пальца сразу прикладывать. А они никак. Другой рукой собираешь в кучу, посольские мучаются, просят поменять кисть, но левая еще больше растопыривается. Потом зовут главную, она разрешает ограничиться большим пальцем.

Восстановить нормальную форму кисти можно лишь оперативно, но это потребует время на реабилитацию, да и нужно снова соблюдать правила, из-за отказа от которых деформация и появилась. Поэтому многие вратари и тренеры привыкают к жизни с такими руками, по крайней мере, до конца карьеры.
Есть ли способ предотвратить такие травмы? Может специальные перчатки?
На самом деле, облегчить дискомфорт при ношении специальных шин могут помочь перчатки, где два пальца объединены в один. Таким образом пострадавший палец можно зафиксировать не только отдельно, но и использовать как шину здоровый. В таких перчатках можно было, например, увидеть Нойера.

Что касается профилактики, то, конечно, современные перчатки намного лучше гасят удар, но существуют ли перчатки, предотвращающие такие травмы? Я проконсультировался с вратарем «Амкала» и владельцем магазина футбольной экипировки Gloves N`Kit Евгением Спиряковым (более 670 тыс. на YouTube, его клиенты это вратари «Рубина», «Урала», «Зенита» и многих других клубов от РПЛ до ЮФЛ).
— Да, такие перчатки со вставками существуют, но ими практически не пользуются, так как они слишком сковывают движения, что для профессионального футболиста критично. В основном все пользуются стандартными моделями, а для профилактики травм используют тейпирование. В АПЛ практически все вратари тейпируют кисть и запястье перед матчем.
Действительно, основным методом профилактики, пусть и с не очень большой доказательной базой, является тейпирование пальцев и запястья перед матчем. Для этого используют специальный тейп (можно купить в спортивных магазинах). В крайнем случае для пальцев подойдет рулонный лейкопластырь.
А самое главное: постоянная концентрация внимания, правильная техника и следование рекомендациям врача, в случае, если травмы не удалось избежать.
Всем, кто играл в воротах - низкий поклон!
За то красные пятна от сбитых коленей в футзальный период сошли более менее только спустя несколько лет
Но все ровненькие, хорошо срослись. ))